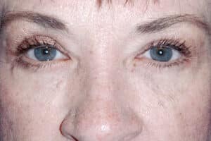
Case Details
Surgeon: Dr. Patricia A. Fox
Upper and Lower Lid Blepharoplasty
View Angle: front
Before
After
